• Academics
  • Events
  • Community
  • Alumni
  • NIRF
  • Achievements
  • Gallery
  • Testimonials
  • Sign In

Department

Department of Oral & Maxillofacial Pathology

The Department of Oral & Maxillofacial Pathology & Microbiology & Forensic Odontology lays the foundation to the course of Dentistry. We strive our best to pave the way for learning for our graduate and postgraduate students. Multi-faceted approach for better understanding is achieved by involving the students in a variety of classes and didactic lectures, discussion, conferences, postings and clinical exposure. At the same time, inculcating in the students a sense of ethics, integrity and loyalty along with skill development is also given importance. Undergraduate courses caters a variety of topics in Dental Anatomy & Histology, Oral Physiology and Oral Pathology along with Oral Microbiology and Forensic Odontology, which is introduced and taught by faculty from different universities with varied exposure and experience. A teaching programme rich in presentations with practical applied aspect is regularly used, maintaining a good student-teacher ratio at all times. The postgraduate courses encourage a sequential learning from Basic Sciences to applied aspects of Oral Pathology Reporting, Oncopathology & Research, and Forensic Sciences. We take up upcoming and recent scientific topics for research & literature review. The students are trained in reporting of Oral Pathology, Microbiology and Oncopathology pertaining to the Head and Neck region. They are also encouraged to gain proficiency in recent laboratory techniques. Equal development and skill is also encouraged so as to generate and achieve an experience and expertise in research methodology and research itself.

The Department houses one of the best speciality Libraries and a Basic Research Laboratory to take up any research topic. A seasoned Histopathology and Hematology laboratory also caters to the Department. Interns and post-graduates are trained in Clinical as well as Laboratory procedures/techniques associated with the subject. The Department also is a stronghold of a 25-year-old slide registry with rare and interesting cases. The staff get down to the student’s forte to teach them and strive hard to take them up the learning ladder effectively. Teachers from different universities contribute to their learning experience in moulding the students. The department stands tall on its achievements and at the same time gels with the other specialties for perfect learning and patient service.

Vision

To contribute excellent patient care by providing comprehensive, high-quality clinical service, research, and education. The department will support strategic programmatic development and will be a focal point for clinical support, research support and educational activities. The department will be a destination for the best trainees and faculty. To be a leading resource for excellence in diagnosis and laboratory evaluation based on a foundation of research and education.

Mission

  • To generate new knowledge through relevant research. Support and lead programmatic research.
  • Stimulate a critical approach to guide students in the process of independent learning, thereby contributing to the delivery of competent newly graduated Oral Pathologists.
  • Provide diagnostic pathological services of the highest quality.
  • Create a stimulating and pleasant environment in which students and personnel can thrive.
  • To ensure optimal care through accurate diagnosis and management of diseases and abnormalities of the oral and maxillofacial region.
  • To provide the state of the art, comprehensive consultation, and tissue diagnostic and reporting services to hospitals, clinicians, private practitioners in dentistry and medicine.
  • To provide a center for teaching and dissemination of knowledge through its archived collections.
  • Provide the highest quality diagnosis in a timely and efficient fashion.
  • Expand the outreach of the department through its reference laboratory by providing a full and comprehensive range of services and to be a primary resource for the most advanced and differentiating technologies.
  • Fulfil the core mission of providing excellence in service, research, and education in partnership with  clinical and scientific programs, and through addressing the priorities and needs of the college, key programs, and the community.

Head of the Department of Oral Pathology – Message

Dr. Radhika M Bavle MDS Professor & Head (Oral Pathology)

The Department of Oral Pathology lays a solid foundation to the learning of Dentistry by teaching Dental Anatomy & Dental Histology and Oral Pathology strengthening the tenets of practice. Undergraduate and post-graduate both are trained to increase their caliber in profession acumen and practice of Oral Pathology, Microbiology and Forensic Dentistry always keeping in perspective skill development, teaching, academics and research projects. A multi-faceted approach is taken for theoretical and practical teaching allowing the growth and creativity of the student.


Our Staff

Name

Qualification

Designation

Dr. Radhika M Bavle MDS Professor & Head
Dr.Sudhakara M MDS Reader
Dr. Prashanth R MDS Reader
Dr. Soumya Makarla MDS Reader
Dr. Reshma V MDS Sr Lecturer

Research facility

The Department of Oral Pathology has a keen eye and mind to be research oriented. The Department houses a basic research unit which is an extension of its Histopathology laboratory. The Histopathology lab is supported by a high end Research microscope with user friendly multihead attachment. It is inclusive of a phase-contrast, dark field, polarising and fluorescent microscopic features; all of which is supported with the latest softwares in morphometry.

The laboratory provides the facility to performing immunohistochemical (IHC) studies with standard protocol which has already suuported numerous department and grant based studies.

An advanced set-up of a molecular lab with a PCR thermocyler, Gel Documentation system and biospectrophotometer is available. An array of supporting apparatus for various methods and protocols including vortex machine, centrifuge(mini and micro) and Tissue homogeniser are also available. An added advantage and feature is to have a -80°C storage system which can house 1000 samples at any time.

This set-up makes a very compact, contemporary, comprehensive molecular laboratory for various specialities.

Research Projects by the Faculty

Sl No Name of Faculty/ Student Research Title Grantee Year
Dr. Radhika M Bavle [PI] Establishing the facility to decipher cytogenetic and molecular aspects associated with oral cancer with prognostic significance VGST –  Govt of Karnataka 2020-2021
2 Dr. Soumya Makarla [PI] Dr. Sudhakara M [Co-PI] Analysis of Tumour cells in Ameloblastomas related to stemness and aggressive behaviour for regression of tumour by targetoid therapy- 2024-26 RGUHS – Advanced research wing 2024-2026
 
Name of the Faculty Research Title Year Grants Received From
Principal investigator: Dr. Radhika M B Co-investigator: Dr. Paremala K Expression of early invasive markers in the epithelium and connective tissue in premalignant disorders and their role in squamous cell carcinoma cases of oral mucosa. An IHC based study 2016 Rajiv Gandhi University of Health Sciences (RGUHS)
Principal investigator: Dr. Sudhakara M Co-investigator: Dr. Sreelatha SH Does Tumor Anoikis Resistance cascade into chemoresistance? 2017 Rajiv Gandhi University of Health Sciences (RGUHS)
Principal investigator: Dr. Soumya M Co-investigator: Dr. Reshma V Assessment of dental cements which have the best antimicrobial properties: A Microbial Culture based study 2017 Rajiv Gandhi University of Health Sciences (RGUHS)
Co-investigator: Dr. Prashanth R Electron microscopic study of the epithelial- connective tissue interphase in normal, pre-malignant and malignant oral tissues: a comparative pilot study 2017 Rajiv Gandhi University of Health Sciences (RGUHS)
Dr. Radhika M B and Dr. M Soumya Small round cell tumours – Histopathology and IHC Self funded short-term study
Dr. Radhika M B and Dr. M Soumya Elucidating the Diagnosis of Fibro-osseous lesions using polarizing light microscopy Self funded short-term study
Dr. Radhika M B and Dr. M Soumya “Proliferative index” – of KCOT epithelium amongst different variants – an IHC study. Self funded short-term study
Dr. Radhika M B and Dr. M Soumya Hemangiomas – plaethora of presentations. An H&E study Self funded short-term study
Dr. Radhika M B and Dr. M Soumya Expression of S100A8/A9 and RAGE genes in Formalin Fixed Paraffin Embedded (FFPE) Oral Squamous Cell Carcinoma tissues Self funded short-term study
Dr. Radhika M B and Dr. Varsha B K Perineural invasion in oral squamous cell carcinoma. Case series Self funded short-term study
Dr. Radhika M B Two edges of an unused sword: Results of an e-survey on tobacco habits in Bangalore urban population Self funded short-term study

Research Projects by the Students (last 3 years)

Name of the Student Research Title Year
Dr. Satya Kiran Under the Guidance of: Dr. Radhika M B Silencing of DNA repair gene-MGMT in oral squamous cell carcinoma 2013-16
Dr. Padmalatha G V V Under the Guidance of: Dr. Radhika M B Quantification of Porphyromonas gingivalis in chronic periodontitis patients associated with diabetes mellitus using real-time PCR 2013-16
Dr. Shruti Singh Under the Guidance of: Dr. Radhika M B Assessment of the most reliable sites in mandible bone for the best DNA yield for expeditive human identification in forensics 2014-17
Dr. Shiny Bopaiah Under the Guidance of: Dr. Krishnanand P S  Role of cell senescence and stromal microenvironment in the malignant transformation of oral lichen planus: An IHC study 2014-17
Dr. Sameer Kumar V Under the Guidance of: Dr. Radhika M B Detection of metastatic tumor epithelial cells and their stemness in lymphnode of oral squamous cell carcinoma-A RT lamp study 2014-17
Dr. Amulya S R Under the Guidance of: Dr. Radhika M B Immunohistochemical Expression of mTOR and Rheb in Ameloblastoma 2015-2018
Dr. Nawal Khan Under the Guidance of: Dr. Radhika M B DNA methylation and its applications in determination of epigenetic age of individuals 2015-18
Dr. Sreenitha S Hosthor Under the Guidance of: Dr. Sudhakara M Immunohistochemical expression of mTOR and ERCC2 in PMDs 2015-18
Dr. Radhika M B and Dr. Sarah D’Mello Proliferation of Ki-67 in variants of hemangioma – An IHC study 2013
Dr. Radhika M B, Dr. Sarah D’Mello and Dr. Afreen Nadaf Decalcification: a simpler and better alternative 2013
Dr. Radhika M B and Dr. Priyanjili Dutta Ki-67 in evaluating different variants of pyogenic granuloma – a comprehensive study 2012
Dr. Radhika M B and Dr. Madhura Bhat Comparison of hard structure between primary and deciduous teeth using polarised microscopy 2012
Dr. Radhika M B and Dr. Sarah D’Mello Analysis of invasive edge in primary and secondary oral squamous cell carcinoma. An independent prognostic marker: A retrospective study. 2014
Dr. Radhika M B and Dr. Padmalatha G V Magnificence of multinucleated giant cells in histology. 2016
Dr. Radhika M B and Dr. Rakesh P Special stains in grading Oral submucous fibrosis 2015
Dr. Radhika M B and Dr. G V V, Dr. Satyakiran Clear cells- why is it clear? 2016
Dr. Radhika M B and Dr. G V V, Dr. Satyakiran Special cells – special stains in Oral pathology, a study 2016
Dr. Radhika M B and Dr. G V V, Dr. Satyakiran Cell block – harvesting delight with histological power 2016
Dr. Radhika M B and Dr. Shiny Bopaiah Comparative study on liquid based cytology and conventional cytology 2016
Dr. Radhika M B and Dr. Sravya S S Can grading of oral cytologic smears be improvised using a DNA stain? 2016
Dr. Radhika M B, Dr. Sameer Kumar V and Dr. G V V, Dr. Satyakiran Relationship between CD4 count and oral manifestation of HIV infected patients on HAART in urban population. 2016
Dr. Radhika M B and Dr. Sameer Kumar V Adjunctive role of dental restorations in personal identification of burnt victims. 2016
Dr. Radhika M B and Dr. Shruti Singh Special stains to disclose Barr bodies in buccal scrape for gender determination in forensic science. 2016
Dr. Radhika M B and Dr. Shahnaz Mahaboob Assessment of mandibular arch length discrepancies in the present generation 2017
Dr. Radhika M B and Dr. Amulya S R To know is the 1st step to start: e-survey on awareness of general public about Oral pathology 2017
Dr. Radhika M B and Dr. Nawal Khan Skill to kill: e-survey on screening skills for oral cancer in non- professionals and oral pathologists. 2017
Dr. Radhika M B and Dr. Sreenitha S Hosthor Early is the watchword for cancer detection – Survey conducted on IT professionals. 2017

Case Study 1

Final Diagnosis: Fibrous Dysplasia Of Maxilla




Case Study 2

Final Diagnosis: ORAL SQUAMOUS CELL CARCINOMA OF PALATE (Moderately differentiated)

Case Study 3

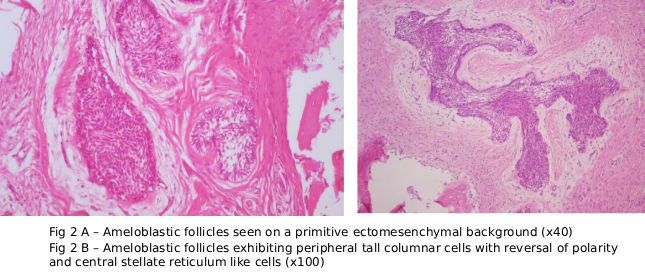
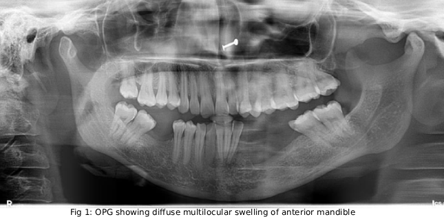
Final Diagnosis: CONVENTIONAL AMELOBLASTOMA (Solid Multicystic Ameloblastoma)

Case Study 4

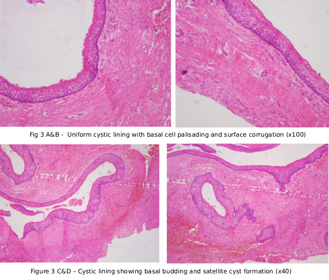
Final Diagnosis: ODONTOGENIC KERATOCYST

Case Study 5

Final Diagnosis: PLEOMORPHIC ADENOMA

I. Grants Received:

This is a VGST Sponsored Department through which we have received a grant of 40 lakhs in 2 installments by the Vision Group of Science & Technology (VGST) Dept, Govt of Karnataka to establish infrastructure for a fully equipped Molecular lab.

  1. VGST grant received – 
    • K-FIST L1 – 20 Lakhs (2014-15)
    • K-FIST L2 – 20 Lakhs (2020-21)

This laboratory facility, once it becomes fully functional will provide a research platform to not only the Dept of Oral Pathology, KCDSH but also to each and every Department in the entire college and for other institutes seeking such assistance.

I A. On-going research projects
  1. Project title: “Establishing the facility to decipher cytogenetic and molecular aspects associated with oral cancer with prognostic significance”.
    Award granted by: Vision   Group   on   Science   and   Technology for the year 2019-20.
    Total Amount granted: Rs 40 Lakhs
    Principal Investigator: Dr. Radhika M B
  1. Project titled: Analysis of Tumour cells in Ameloblastomas related to stemness and aggressive behaviour for regression of tumour by targetoid therapy- 2024-26 Funded by: RGUHS Advance Research Wing, Bengaluru Total Amount: 10.9 Lakhs Principal Investigator: Dr. Soumya M Co-Investigator: Dr. Sudhakara M
I B: Ongoing DEPARTMENTAL STUDIES:
  1. Analysis of Tumour cells in Ameloblastoma related to stemness and aggressive behaviour for regression of tumour by targetoid therapy- Dr. Soumya M and Dr. Sudhakara M 
  2. Immunohistochemical analysis of podoplanin and Ki-67 in ameloblastoma for evaluation of its aggressive behaviour- Dr. Soumita B and Dr. Sudhakara M
  3. Clinicopathological Study of Oral Mucoceles- An institutional based study – Dr.Reshma V, Dr. Radhika MB. 
  4. Inter-Institutional study in association with Bharti Vidyapeeth Dental College, Pune titled “Invasive Edge and Tumour microenvironment in OSCC- A Histopathological Study”- Dr. Soumya M, Dr. Radhika M B, Dr. Sudhakara M, Dr. Reshma V.
  5. Assessment of salivary parameters in Passive smokers. – Dr. Radhika M B, Dr. Reshma V, Dr. Mrinalini Menon
II.POSTS HELD:
  1. Dr. Radhika M B:
  • Interim Editor: Journal of Oral and Maxillofacial Pathology- An Official Publication of Indian Association of Oral and Maxillofacial Pathologists- National Pubmed Indexed Journal- 2024
  • Chairperson- INROAD National Registry for Odontogenic Tumours- Indian Association of Oral and Maxillofacial Pathologists initiative.
  • Member- Institutional Ethical Committee- Krishnadevaraya College of Dental Sciences and Hospital.
  1. Dr. Sudhakara M:
  • Member of Academic Council of Rajiv Gandhi University of Health Sciences, Karnataka, Bengaluru- from 16.06.2025 till date
  • President Elect: IDA Chikkaballapur Branch 2025
  • Local Guardian Scheme- Incharge- Krishnadevaraya College of Dental Sciences and Hospital.
  1. Dr. Prashanth R:
  • Disciplinary Committee Member- Krishanadevaraya College of Dental Sciences and Hospital. 
  • Local Guardian Scheme- Counsellor- Krishnadevaraya College of Dental Sciences and Hospital
  1. Dr. Soumya M:
  • Co-Editor: Journal of Oral and Maxillofacial Pathology- An Official Publication of Indian Association of Oral and Maxillofacial Pathologists- National Pubmed Indexed Journal- 2024
  • Oral Pathology Departmental NAAC Incharge: Krishnadevaraya College of Dental Sciences.
  • Local Guardian Scheme- Counsellor- Krishnadevaraya College of Dental Sciences and Hospital
  1. Dr. Reshma V:
  • Associate Editor: Journal of Oral and Maxillofacial Pathology- An Official Publication of Indian Association of Oral and Maxillofacial Pathologists- National Pubmed Indexed Journal-2024
  • Local Guardian Scheme- Counsellor- Krishnadevaraya College of Dental Sciences and Hospital
III. Staff Achievements/ presentations/ Guest lectures

Dr. Radhika M B

Guest Lectures:
  1. Guest Lecture titled “OSCC-Recent Concepts, Evidence, and Strategies” and Panelist for the same at International Conference held at Shard Pawar College and Hospital, DMIMS (Deemed to be University), Wardha on 22nd July 2021.
  2. Webinar titled “OSCC- Unraveling a new piece of the jig-jaw puzzle” on 19th October 2021 on webpage Dr. Mandana Donoghue’s Oral Pathology 360 degrees
  3. Keynote lecture titled “Frequently encountered, Non neoplastic pathologies of salivary glands” for the 4th Kerala Triple O Conference organized by Azeezia College of Dental Sciences and Research held from 25th to 27th November 2021.
  4. Quiz Master- Case presentation for OOO PG Quiz held on the occasion of National Oral Pathologist Day along with DCE organized by Department of Oral and Maxillofacial Pathology and Oral Microbiology, A B Shetty Memorial Institute of Dental Sciences on 24th and 25th February 2022
  5. Guest Speaker for webinar titled “Dawn of Dinosaurs” held on 25th February 2022. The title of the presentation is “Influence of Arecanut and Tobacco on Oral Tissues”
  6. Guest Lecture (Invited Talk) for Department of Biotechnology, Sir M. Visvesvaraya Institute of Technology, Bengaluru on “Effects of Tobacco on Systemic and Oral Tissues” on the occasion of “International No Tobacco Day” held on 31st May 2022.
  7. Guest Lecture (Resource Person) for Department of Biotechnology, Sir M Vivesvaraya Institute of Technology, Bengaluru on “Success Stories of Cancer Survivors” held on 4th August 2022- 
  8. Guest Lecture for Bharati Vidyapeeth on “Invasive Edge and Tumour Micro-Environment of Oral Squamous Cell Carcinoma” held on 29th August 2022.
  9. Guest Lecture (Resource Person) for National Webinar titled “Verruco-Papillary Lesions-Deliberations for General Dentists and Specialists” held on 28th September 2022 conducted by Department of Oral Pathology, DAPM RV Dental College and Hospital, Bengaluru.
  10.  Dr. Vishwanath Endowment Lecture on “Riveting Features of Odontogenic Tumours- A study of 150 cases” at 29th National IAOMP Conference held at Dehradun, Uttraranchal from 11th to `13th November 2022
  11. Guest Lecture titled “Way Ahead” at the Oral Pathology Alumni Meet’s Scientific Session titled “Academic Essence” on 29th April 2023 at KCDS & H. Bengaluru-562157
  12.  Guest Lecture titled “Tobacco-Toll on Health” on the Occasion of “No Tobacco Day” at Sir MVIT, Bengaluru on 31st May 2023.
  13. Guest Lecture titled “Essential Steps of Histopathological Evaluation in Diagnostic Oral Pathology-Points to Ponder” at an Online CDE Program organized by Government Dental College, Raipur on 7/7/2023
  14. Guest Lecture titled “Interesting Cases of the Oral & Maxillofacial region” at Online CDE Program “Essential Steps of Histopathological Evaluation in Diagnostic Oral Pathology- Points to Ponder-Part 2” organized by Department of Oral Pathology, Government Dental College, Raipur, Chhattisgarh, on 24/7/23
  15. Invited Resource Person- Guest Lecture titled “Crux of the Daily Grind- Cases of the Oral and Maxillofacial Region” at Slide Webinar titled “Re-Review 2023” organized by Kairali Society of Oral and Maxillofacial Pathologists on 11-08-2023
  16. Guest Lecture titled “The Enigma of the Overstep” at the XXI IAOMP National Post Graduate Convention 2024 themed “Embrace the Basics-A Timeless Approach to Excellence” held on 15th and 16th June 2024 at DPU Auditorium, Pimpri, Pune.
  17. Resource Person in the CDE program titled “Revisiting Biopsy: A Clincopathological Perspective” organised by Department of Oral Pathology and Microbiology, Yenepoya Dental College, Yenepoya (Deemed to be University) on 29th June 2024.
  18. Guest Presentation in the Preconference course on Implantology at the Asia Pacific Implantology Conference organized at Krishnadevaraya College of Dental Sciences, Bengaluru-562157 on 17-01-2025.
  19. Guest Speaker for “Online Slide Seminar” on the topic Salivary gland tumors organized by Department of Oral and Maxillofacial Pathology and Oral Microbiology, Subharti Dental College and Hospital, Meerut held on 24th April 2025.
  20. Keynote Speaker for the topic “The Unsolicited Escalation” at 22nd National IAOMP PG Convention 2025 held at Kusum Devi Sunderlal Dugar Jain Dental College and Hospital, Kolkata from 13th to 15th June 2025.

Dr. Sudhakara M:

Guest Lecture:
  1. Moderator for the CDE program “Desisting and Resisting the Habit” conducted to mark the occasion of “The World No Tobacco Day” held on 26th June 2024, organized by Department of Oral Pathology and Microbiology, Krishnadevaraya College of Dental Sciences, Bengaluru.
  2. Moderator for Guest Lectures in the Academic Session of the 2nd KCDSOP Alumni Meet held on 27th July 2024.

Other Achievements:

  1. The “Heroes Award” for outstanding work during COVID times, awarded during the Alumni Meet held on 29th April 2023 held at Krishnadevaraya College of Dental Sciences, Bengaluru-562157

Dr. Prashanth R:

Scientific Presentations:
  1. Case presentation on “ MRONJ” for the CDE Program titled “Academic Essence” to mark the first Alumni Meet of Department of Oral and Maxillofacial Pathology, Krishnadevaraya College of Dental Sciences, Bengaluru held at KCDS&H, Bengaluru on 29th April 2023

Dr. Soumya M:

Guest Lecture:
  1. Guest Lecture titled “Immune cells and cancer- Warriors or traitors” for the “Virtual CDE Program – F A C T” organized by Vishnu Dental College on 22nd February 2022. 
  2. Guest Lecture titled “Theranostics” on the occasion of “No Tobacco Day” at Sir MVIT, Bengaluru-562157 on 31st May 2023.
  3. Guest Lecture titled “Tobacco Associated Lesions a Close Look Through the Lens” at the CDE program “Desisting and Resisting the Habit” conducted to mark the occasion of “The World No Tobacco Day” held on 26th June 2024, organized by Department of Oral Pathology and Microbiology, Krishnadevaraya College of Dental Sciences, Bengaluru.
  4. Key Note Speaker for the Dr. AT Biviji Oration- Topic titled “The voice of Ameloblastoma- Histopathologic and Molecular Cross-talk” at the 22nd National IAOMP PG Convention hosted by Kusum Devi Sunderlal Dugar Jain Dental College and Hospital, Kolkata from 13th to 15th June 2025.
Scientific Presentations:
  1. Case Presentation on “Metastatic Gastric Adenocarcinoma” at the CDE program titled “Academic Essence” to mark the first Alumni Meet of Department of Oral and Maxillofacial Pathology, Krishnadevaraya College of Dental Sciences held on 29th April 2023 at KCDS, Bengaluru-562157
  2. Case Presentation on “Case of Interest- Osteomyelitis and Mucormycosis” at a CDE Program on “Oral Microbiome” and collaborative research work on “Invasive Edge and Tumour microenvironment in OSCC- A Histopathological Study” with Bharti Vidyapeeth Dental College, Pune. A 2-day program held at KCDS & H, Bengaluru
  3. Case Presentation as a paper titled “Verrucous Carcinoma or Inverted Verruous Carcinoma” International Clinico-Pathological Interactive Slide Seminar 2.0 held at Sri Ramachandra Institute of Higher Education and Research, Porur, Chennai on 27th and 28th October, 2022
  4. Paper Presentation - Original study on ‘The Stories Lymph nodes tell: Pattern analysis of the metastatic deposits of OSCC in Lymph nodes – a pilot study” at the 30th National Conference of the IAOMP, K.L.E.V.K Institute of Dental Science, Belagavi from 3rd to 5th November, 2023
  5. Won BEST FACULTY PAPER for Paper Presentation on “Tumour pathology- what you see is always not what you get” at the XXI National Post Graduate Convention of Indian Association of Oral and Maxillofacial Pathologists at D.Y.Patil Dental College and hospital, Pimpri, Pune on 15th & 16th June 2024

Dr. Reshma V

Guest Lecture:
  1. Guest Lecture titled “Wonders through Microscope” on the occasion of “The Oral Pathologists Day” celebrated in Krishnadevaraya College of Dental Sciences, Bangalore on 25th February 2022.
  2. Guest Lecture titled “Leukoplakia- An Update: Clinical” as a part of collaborative work with Datta Meghe Institute of Dental Sciences, Wardha, Maharasthra on 30th May 2023.
  3. Invited Lecture titled “Microbiome and Oral Health” on 14th December 2023 at a program organized by Department of Biotechnology, Sir MVIT Bengaluru-562157.
  4. Guest Lecture titled “Introduction, Principals, IHC technique and Methods” on 15th April 2025 organized 
Scientific Presentations:
  1. Case Presentation titled “A case of cystic lesion in the maxillary posterior region” at the International Oral Diseases Case Presentation Conference 2024 conducted virtually on vFairs held from 3rd to 5th May 2024.
  2. Case Presentation on “Leiomyosarcoma” at the CDE program titled “Academic Essence” to mark the first Alumni Meet of Department of Oral and Maxillofacial Pathology, Krishnadevaraya College of Dental Sciences held on 29th April 2023 at KCDS, Bengaluru-562157.
  3. Case Presentation titled “A Case of Cervical Lymphnode Metastases” at International Clinico-Pathological Interactive Slide Seminar 2.0 held at Sri Ramachandra Institute of Higher Education and Research, Porur, Chennai on 27th and 28th October, 2022.
  4. Case Presentation titled “Giant Cell Tumour” at Patho Slide Series on 26th August 2022 organized by Department of Oral and Maxillofacial Pathology, V S Dental College and Hospital, Bengaluru.
  5. Won – 2nd place for Faculty presentations for - Case Presentation titled “A Case of Blown-out Mandibular Cortex” at International Oral Diseases Case Presentation Conference held virtually from May 2-4 2025. 
IV. MoUs with other college/institutions/ Societies:
  1. Datta Meghe Institute of Medical Sciences, Sawangi, Wardha, Maharashtra (2021 – 2024)
  2. Bharatiya Vidyapeeth Dental College and Hospital, Pune (2022 – 2024)
V. Textbook Contributions: Dr. Radhika M.B:
  1. Chapters 7:  Cementum. In Orban’s Text Book of Oral Histology, Embryology and Physiology.16th Ed. India:Reed Elsevier India; 2023.
  2. Chapter 8:  Periodontal Ligament. In Orban’s Text Book of Oral Histology, Embryology and Physiology.16th Ed. India:Reed Elsevier India; 2023.
  3. Chapter 11: Salivary Glands. In Orban’s Text Book of Oral Histology, Embryology and Physiology.16th Ed. India:Reed Elsevier India; 2023.
  4. Chapter 12: Lymphoid tissue and Lymphatics in Orofacial Region. In Orban’s Text Book of Oral Histology, Embryology and Physiology.16th Ed. India:Reed Elsevier India; 2023.
  5. Chapter 20: Saliva. In Orban’s Text Book of Oral Histology, Embryology and Physiology.16th Ed. India:Reed Elsevier India; 2023.
  6. Chapter 22: World Literature: Bibliography. In: Oral Submucous Fibrosis: A Guide to Diagnosis and Management. 1st ed.  Switzerland AG: Springer Cham;2023. Pp 357-376
  7. Chapter 21: Histopathology of Odontogenic Tumours of Jaw bones. In: Oral Histology and Histopathology- A practical Guide to Dental Students and a Companion to Pathologists. 1st ed. Springer Nature Publications: Switzerland; 2025. pp 61-71
VI: SPORTS ACHIEVEMENTS: Annual Sports Meet at Krishnadevaraya College of Dental Sciences, Bengaluru
  1. Dr. Radhika M B: 1st Place in Discus Throw.
  2. Dr. Soumya M: 2nd Place in Discus Throw and 3rd place in 100 meters running.
  3. Dr. Reshma V and Dr. Anusha: Secured 4th Place in RGUHS State Level Badminton Competition.
  4. Dr. Reshma V secured 2nd place in the National Sports 2025 event- Chess organized by Government Dental College and Hospital and Research Institute, Bengaluru.
1. The Editorial Board of National Journal - Journal Of Oral And Maxillofacial Pathology, Indian Association Of Oral And Maxillofacial Pathologists was housed in the Department during the year 2013-2014 and 2015-2016. Posts Held:
  1. Dr. Radhika M B: Editor-in-Chief
  2. Dr. Sudhakara M: Co-Editor
  3. Dr. M Soumya: Co-Editor
  4. Dr. Reshma V: Associate Editor
  5. Dr. Sreelatha S Hosthor: Associate Editor
2. The Department co-hosted the SCIENTIFIC COMMITTEE at XXIII NATIONAL CONFERENCE OF IAOMP held in BANGALORE on 26th, 27th and 28th NOVEMBER 2014 Headed by: Dr. Sharada P and Dr. Radhika M B Members:
  1. Dr. Sudhakara M
  2. Dr. M Soumya
  3. Dr. Reshma V
  4. Dr. Sreelatha S Hosthor
3. Conducted SCREENING CAMP organized by Rotary Bangalore Spandana on 21st Sept 2014 at Government School Anekal, Bangalore Urban District. a.  Any University Ranks UG or PG
  •   Dr. AFREEN NADAF - secured 2nd Rank in Rajiv Gandhi Universities of Health Sciences Post-Graduate Examinations in the year 2012 in the subject of Oral and Maxillofacial Pathology & Microbiology.
  • Dr. SARAH D’MELLO- secured 2nd Rank in Rajiv Gandhi Universities of Health Sciences Post-Graduate Examinations in the year 2012 in the subject of Oral and Maxillofacial Pathology & Microbiology
b.  Any awards/Prize in conference 1. Dr. AFREEN NADAF:
  • IInd prize for Best Paper award- “Histological patterns of ameloblastoma – our experience” at Dentistry 2011, held at Bangalore from 22nd- 24th July 2011
2. Dr. SARAH D’MELLO:
  • Session Best Paper award- “The synergy of tobacco and alcohol and GSTT1 gene and oral squamous cell carcinoma” at XXII National Conference of Indian Association of Oral and Maxillofacial Pathologists, held at Mumbai from 8th – 10nd November 2013.
  • Session Best Paper award – staff category for “Elusive edge: Invasive edge” at XXIII National Conference of Indian Association of Oral and Maxillofacial Pathologists, held at Bangalore from 28th – 30th November 2014
3. Dr. RAKESH P
  • Second Prize for Poster- “Special stains in grading oral submucous fibrosis” at XIII National Postgraduate Convention of Indian Association of Oral and Maxillofacial Pathologists held at Tirupathi on 10th July – 11th July 2013.
  • First Prize- best Photomicrography at XXIII National Conference of Indian Association of Oral and Maxillofacial Pathologists, held at Bangalore from 28th – 30th November 2014.
4. Dr. SATYAKIRAN G V V
  • Second Prize- Poster “Special Cell: Special Stains” at XIV National Post Graduate Convention held at Kolkata on 19th - 20th July 2014.
  • Session Best Poster Award- “Cell Block: Harvesting Delight with Histological Power” at XXIII National Conference of Indian Association of Oral and Maxillofacial Pathologists, held at Bangalore from 28th – 30th November 2014.
  • Session Best Paper award- “ Silencing of DNA repairing gene MGMT in oral squamous cell carcinoma” at XXIV National Conference of Indian Association of Oral and Maxillofacial Pathologists, held at Jaipur from 20th – 22nd November 2015.
5. Dr. PADMALATHA G V
  • First Prize- best Photomicrography at XXIII National Conference of Indian Association of Oral and Maxillofacial Pathologists, held at Bangalore from 28th – 30th November 2014.
  • Session Best Paper award- “Quantification of Porphyromonas gingivalis in chronic periodontitis patients associated with diabetes mellitus using real time - PCR” at XXIV National Conference of Indian Association of Oral and Maxillofacial Pathologists, held at Jaipur from 20th – 22nd November 2015.
6. Dr. SAMEER KUMAR V
  • First Prize- best Microscope Gen-Next at XXIII National Conference of Indian Association of Oral and Maxillofacial Pathologists, held at Bangalore from 28th – 30th November 2014.
  • Best Poster Award-“Magnificence of Multinucleated Giants in Histological Battle Field” at XV National Post graduate Convention of Indian Association of Oral and Maxillofacial Pathologists, held at Vadodara, Gujarat on 11th& 12th July 2015.
  • Best Paper Award- “Adjunctive Role of Dental Restorations in Personal Identification of Burnt Victims” at XIII National Conference of Indian Association of Forensic Odontologists, held at Mysore on 19th&20th September 2015.
7. Dr. KATIKELA SRAVYA REDDY
  • First Prize- best Microscope Gen-Next at XXIII National Conference of Indian Association of Oral and Maxillofacial Pathologists, held at Bangalore from 28th – 30th November 2014.
  • Session Best Paper award- “ Enigmatic recurrent parotid mass – Case report” at XXIV National Conference of Indian Association of Oral and Maxillofacial Pathologists, held at Jaipur from 20th – 22nd November 2015.
8. Dr. SHINY BOPIAH
  • Best Paper award- “Oral squamous cell carcinoma – a multidisciplinary approach” at OOO Symposium, held at Oxford dental college, Bangalore on 12th April 2016.
9. Dr. NAWAL KHAN
  • Best Paper award- “DNA methylation and its application in determination of epigenetic age of individuals” at XXVI National Conference of Indian Association of Oral and Maxillofacial Pathologists, held at Bhubaneswar, Orissa from 17th – 19th November 2017.
10. Dr. SREENITHA S. HOSTHOR
  • Best Paper award- “Immunohistochemical expression of mTOR & ERCC2 in potentially malignant disorders” at XXVI National Conference of Indian Association of Oral and Maxillofacial Pathologists, held at Bhubaneswar, Orissa from 17th – 19th November 2017.
11. Dr. SHAHNAZ MAHBOOB
  • Best Paper award- “Assessment of mandibular arch length discrepancies in the present generation – 2017” at XV National Conference of Indian Association of Forensic Odontologists, held at Bangalore from 9th – 11th September 2017.
Sl no Year  Programs conducted Date of program Guest speakers Topic
1 2022   I National Oral Pathology Day - 2022 25.2.2022 1. Dr. Suma S,  DPMRV Dental College Conflux of oral pathology and clinical dentistry
2. Dr. Reshma V, KCDS&H Wonder through the microscope
22-24.2.2022 Undergraduate competitions 1.Rangoli with a difference “Developmental Designs” 2.Soap carving –soap sculpture 3.E-poster designing 4. “Catch phrase”- slogan competition
2 2023 I CDE program:  9.1.2023 Dr. Revathi Deshmukh, Bharti Vidyapeeth Dental College, Pune Dr. Radhika M Bavle, KCDSH Invasive Edge and Tumour microenvironment in OSCC- A Histopathological Study”
10.1.2023 1. Dr. Revathi Deshmukh Bharti Vidyapeeth Dental College, Pune,  “Intricacies of Oral Microbiome in Health & Disease”
2. Dr. Priya Deo  Bharti Vidyapeeth Dental College, Pune Oral Microbiome: Research insights into the study design”
3 II National Oral Pathology Day - 2023 23.2.2023 1. Dr. Pramitha R, Radiation Oncologist, HCG 2. Dr. Shalini Thakur, Oral and Maxillofacial Surgeon, HCG 3. Dr. Akshay C Trimukhe,  Oral Pathologist “Radiotherapy for Oral Cavity”. “Emerging trends in Oral Cancer Detection and Management” “We Breathe Oral Pathology”
22.3.2023 Undergraduate Competitions Rangoli- Path Art Face Painting Histopath Reels
4 III CDE program “Academic Essence” 1st Alumni Meet – Dept of Oral Pathology 29.4.2023 Good cases 1] Dr. Sreelakshmi R 2] Dr. Prashanth R  Difficult cases- Hills to Climb 1] Dr. Smitha Birajdar 2] Dr. Afreen Nadaf  3] Dr. Reshma V 4] Dr. Soumya M Panel Discussion Dr. Varsha BK Dr. Kavya BM Dr. Rakesh P Moderator: Dr. Sudhakara M  Glandular Odontogenic Cyst MRONJ Ameloblastic Carcinoma Basal cell carcinoma Leiomyosarcoma Metastastic Gastric adenocarcinoma Oral Pathology – Good or Bad- Our experiences
Our Heroes: Dr. Varsha B K Dr. Sudhakara M Dr. Radhika M B
5. 2024 I National Oral Pathology Day 2024 28.2.2024 & 29.2.2024 Dr. Soumitha B KCDS&H Interns Batch of 2021-25 “Evolution of Oral Pathology” Rangoli and Soap carving competition  Reels competition on ‘Guess who?”  Quiz competition on the topic “Delicacies of Oral Pathology”  Fashion show on “Different cell types”
6. II No Tobacco Day “Desist the habit” 26.6.2024 Guest lectures 1] Dr. Marimallappa, Dept of Oral Surgery, KCDS&H 2]Dr.Soumya Makarla Dept of Oral Pathology, KCDS&H Panel Discussion  Dr. Vijeev V, Dr. Ramdas Shetty and Dr. Radhika M B Moderator: Dr. Sudhakara M “World No Tobacco day” “Tobacco associated lesions - a close look through the lens” “Oral Potentially Malignant Disorders”
24.6.2024. 25.6.2024 26.6.2024 Mask Painting competition Slogan Writing competition  Collage Competition Quiz Competition – “Tobacco related products and lesions” Skit by Interns and Students
7 III 2nd KCDSOP Alumni Meet 2024 Webinar 27.7.2024 1] Dr. Nawal Khan, GDC Srinagar 2] Dr. Madhura Bhat, Prospective Chart reviewer, Agilon Health, Bengaluru “Histopathological Insight into uncommon lesions of the Oral Cavity” “Histopathological insight into uncommon lesions of the oro-facial region – Ewing’s sarcoma”
8. 2025 I National Oral Pathology Day 2025 25.2.2025 Guest lecture: 1] Dr. H G Nagendra, Dept of Biotechnology SMVIT 2] Dr. Satyajit Topajiche,  Dept of Oral Pathology, KLE institute of Dental Sciences Interactive Session Dr. Prashanth R, Dr. Soumya M, Dr. Reshma V “Oral Proteomics and their analysis in various pathological conditions” Oral Pathology: Current and Future Trends in Oral Pathology  “Current and Future Trends in Forensic Odontology” 
24.2.2025 Patternography Rangoli Competition
9 II 3rd KCDSOP Alumni Meet  “Nuthanam” 6.5.2025 Guest lecture: 1] Dr. Shiva Teja Kakileti Case presentation: 2] Dr. Smitha Birajdar   3] Dr. Shahnaz Mahaboob  T “AI-Powered Thermal Imaging for non-invasive, affordable and early disease detection” “Unveiling the hidden: Periapical Cemento-osseous dysplasia with actinomycotic osteomyelitis” “A Case Report on Primary Intraosseous Squamous Cell Carcinoma - Unmasking the Devil in Disguise”
 

PUBLICATIONS:

Dr. Radhika M.B.

  1. Grading of Oral Leukoplakia: Can It be Improvised Using Immunohistochemical Markers p63 and CD31. Contemp Clin Dent 2021;12:37-43
  2. Effective anaerobic culture method for identifying the organisms in deep dentinal caries and testing the antimicrobial efficacy of the pulp capping agents-comparision of 2 techniques. I Jour Med Health Sciences 2021;11(03):1615-1621
  3. Case of labial sclerosing polycystic adenoma with ductal carcinoma in situ (DCIS). BMJ Case Reports CP 2021;14:e243736.
  4. Sclerosing polycystic adenosis/adenoma-Changing Paradigm- A mini review. Medical Reports and Case Studies 2021;06 (S4): 005-007
  5. A review of BCR ABL1 Negative Myeloproliferative Neoplasm with Dental Implications. Euro Mediterranean Biomedical Journal 2022;17(4) 12-17
  6. Clear cell adenomatoid odontogenic tumour and dentigerous cyst: an uncommon hybrid combination– case and review. BMJ Case Rep 2022;15:1-6. e246205. doi:10.1136/bcr-2021-246205.
  7. Polymorphous adenocarcinima: High Grade Transformation with Immunohistochemical work-up. Cureus 2022;14(3): 1-9 e23639 DOI: 10.7759/cureus.23639
  8. Granulomatosis with polyangiitis in gingiva: A rare case of isolated presentation. Intractable Rare Dis Res 2022;11(2): 93-95.
  9. Peripheral Adenomatoid Odontogenic Tumour. Oral Maxillofac Pathol 2022;26:564-7
  10. Determining the best anti-microbial properties of dental cements used for pulp caping. J Oral Maxillofac Pathol 2023;27:239.
  11. An Insight into Histogenesis and Morphogenesis of Salivary Gland Neoplasm. Oral Maxillofac Pathol J 2023;14(2):198-203
  12. Evaluation of antioxidant activity in saliva among young adults having diverging food habits and its relation to oral health: A pilot study. J Oral Maxillofac Pathol 2024;28:226-31
  13. Mitosis in Lymph node metastasis in comparison to mitotic rate in Primary tumours - A histopathologic study of 40 cases, a pilot study. J Oral Maxillofac Pathol 2024;28(4):602-611
  14. The Enigmatic ‘Swiss Cheese’ in macroscopic tissue pathology. J Oral Maxillofac Pathol 2024;28(4):547-548
  15. Quantification of DNA in Dried Blood, Saliva tinted with Blood in Comparison with Fresh Blood for Forensic Identification- A Pilot Study. J Oral Maxillofac Pathol 2024;28(4):725-730
  16. Editorial- From the Editor’s Desk. J Oral Maxillofac Pathol 2024;28(4):531
  17. Gene-Confirmed Primary Aneurysmal Bone Cysts of the Jaws: A Qualitative Systematic Review of Clinical, Radiologic, and Histopathological Features. Cureus 2025 17(4): e82484. DOI 10.7759/cureus.82484.
  18. Quantification and mitigation of site-specific differences in digital pathology datasets. Proc. SPIE 13413, Medical Imaging 2025: Digital and Computational Pathology 2025;13413:1-10. https://doi.org/10.1117/12.3046519
  19. Sameer Kumar V, Radhika MB, Makarla S, et al. Detection of metastatic tumor epithelial cells and their stemness-in lymph nodes of oral squamous cell carcinoma-a RT-LAMP pilot study. J Oral Biol Craniofac Res. 2025;15(6):1238-1247. doi:10.1016/j.jobcr.2025.07.023
Dr. Sudhakara M
  1. Effective anaerobic culture method for identifying the organisms in deep dentinal caries and testing the antimicrobial efficacy of the pulp capping agents-comparison of 2 techniques. I Jour Med Health Sciences 2021;11(03):1615-1621
  2. Case of labial sclerosing polycystic adenoma with ductal carcinoma in situ (DCIS). BMJ Case Reports CP 2021;14:e243736.
  3. Sclerosing polycystic adenosis/adenoma-Changing Paradigm- A mini review. Medical Reports and Case Studies 2021;06 (S4): 005-007
  4. Clear cell adenomatoid odontogenic tumour and dentigerous cyst: an uncommon hybrid combination– case and review. BMJ Case Rep 2022;15:1-6. e246205. doi:10.1136/bcr-2021-246205.
  5. Polymorphous adenocarcinima: High Grade Transformation with Immunohistochemical work-up. Cureus 2022;14(3): 1-9 e23639 DOI: 10.7759/cureus.23639.
  6. Granulomatosis with polyangiitis in gingiva: A rare case of isolated presentation. Intractable Rare Dis Res 2022;11(2): 93-95
  7. Peripheral Adenomatoid Odontogenic Tumour. J Oral Maxillofac Pathol 2022;26:564-7
  8. Determining the best anti-microbial properties of dental cements used for pulp caping. J Oral Maxillofac Pathol 2023;27:239.
  9. Gene-Confirmed Primary Aneurysmal Bone Cysts of the Jaws: A Qualitative Systematic Review of Clinical, Radiologic, and Histopathological Features. Cureus 2025 17(4): e82484. DOI 10.7759/cureus.82484.
Dr. Soumya M:
  1. Effective anaerobic culture method for identifying the organisms in deep dentinal caries and testing the antimicrobial efficacy of the pulp capping agents-comparision of 2 techniques. I Jour Med Health Sciences 2021;11(03):1615-1621
  2. Case of labial sclerosing polycystic adenoma with ductal carcinoma in situ (DCIS). BMJ Case Reports CP 2021;14:e243736.
  3. Sclerosing polycystic adenosis/adenoma-Changing Paradigm- A mini review. Medical Reports and Case Studies 2021;06 (S4): 005-007
  4. Clear cell adenomatoid odontogenic tumour and dentigerous cyst: an uncommon hybrid combination– case and review. BMJ Case Rep 2022;15:1-6. e246205. doi:10.1136/bcr-2021-246205.
  5. Polymorphous adenocarcinima: High Grade Transformation with Immunohistochemical work-up. Cureus 2022;14(3): 1-9 e23639 DOI: 10.7759/cureus.23639.
  6. Determining the best anti-microbial properties of dental cements used for pulp caping. J Oral Maxillofac Pathol 2023;27:239.
  7. Evaluation of antioxidant activity in saliva among young adults having diverging food habits and its relation to oral health: A pilot study. J Oral Maxillofac Pathol 2024;28:226-31.
  8. Mitosis in Lymph node metastasis in comparison to mitotic rate in Primary tumours - A histopathologic study of 40 cases, a pilot study. J Oral Maxillofac Pathol 2024;28(4):602-611
  9. Quantification of DNA in Dried Blood, Saliva tinted with Blood in Comparison with Fresh Blood for Forensic Identification- A Pilot Study. J Oral Maxillofac Pathol 2024;28(4):725-730
  10. Gene-Confirmed Primary Aneurysmal Bone Cysts of the Jaws: A Qualitative Systematic Review of Clinical, Radiologic, and Histopathological Features. Cureus 2025 17(4): e82484. DOI 10.7759/cureus.82484
  11. Sameer Kumar V, Radhika MB, Makarla S, et al. Detection of metastatic tumor epithelial cells and their stemness-in lymph nodes of oral squamous cell carcinoma-a RT-LAMP pilot study. J Oral Biol Craniofac Res. 2025;15(6):1238-1247. doi:10.1016/j.jobcr.2025.07.023
Dr. Prashanth R:
  1. Effective anaerobic culture method for identifying the organisms in deep dentinal caries and testing the antimicrobial efficacy of the pulp capping agents-comparision of 2 techniques. I Jour Med Health Sciences 2021;11(03):1615-1621.
  2. Peripheral Adenomatoid Odontogenic Tumour. J Oral Maxillofac Pathol 2022;26:564-7.
  3. Gene-Confirmed Primary Aneurysmal Bone Cysts of the Jaws: A Qualitative Systematic Review of Clinical, Radiologic, and Histopathological Features. Cureus 2025 17(4): e82484. DOI 10.7759/cureus.82484
Dr. Reshma V
  1. Grading of Oral Leukoplakia: Can It be Improvised Using Immunohistochemical Markers p63 and CD31. Contemp Clin Dent 2021;12:37-43
  2. Effective anaerobic culture method for identifying the organisms in deep dentinal caries and testing the antimicrobial efficacy of the pulp capping agents-comparison of 2 techniques. I Jour Med Health Sciences 2021;11(03):1615-1621
  3. Case of labial sclerosing polycystic adenoma with ductal carcinoma in situ (DCIS). BMJ Case Reports CP 2021;14:e243736.
  4. Sclerosing polycystic adenosis/adenoma-Changing Paradigm- A mini review. Medical Reports and Case Studies 2021;06 (S4): 005-007
  5. Clear cell adenomatoid odontogenic tumour and dentigerous cyst: an uncommon hybrid combination– case and review. BMJ Case Rep 2022;15:1-6. e246205. doi:10.1136/bcr-2021-246205.
  6. Polymorphous adenocarcinima: High Grade Transformation with Immunohistochemical work-up. Cureus 2022;14(3): 1-9 e23639 DOI: 10.7759/cureus.23639.
  7. Peripheral Adenomatoid Odontogenic Tumour. J Oral Maxillofac Pathol 2022;26:564-7
  8. Determining the best anti-microbial properties of dental cements used for pulp caping. J Oral Maxillofac Pathol 2023;27:239.
  9. Evaluation of antioxidant activity in saliva among young adults having diverging food habits and its relation to oral health: A pilot study. J Oral Maxillofac Pathol 2024;28:226-31
  10. Gene-Confirmed Primary Aneurysmal Bone Cysts of the Jaws: A Qualitative Systematic Review of Clinical, Radiologic, and Histopathological Features. Cureus 2025;17(4): e82484
 
Year Programme Conducted Number of Participants
2023 World No Tobacco Day in collaboration with Dept of Biotechnology, SirMVIT.
2023 Oral Microbiome - Dr. Revathi Deshmukh and Dr.Priya Deo 100

Design and Developed by KodeForest @ All Rights Reserved by KodeForest

WordPress Video Lightbox